Il Sistema Nervoso, organizzato in Sistema Nervoso Centrale (SNC), che comprende encefalo e midollo spinale, e in Sistema Nervoso Periferico (SNP), formato dai gangli e dai nervi spinali ed encefalici, è costituito dal tessuto nervoso che ha la funzione di ricevere, elaborare e trasmettere gli impulsi.
L’unità funzionale del tessuto nervoso è una cellula altamente specializzata che presenta una precisa architettura e la capacità di poter essere eccitata e trasmettere impulsi: il neurone. Il neurone è coadiuvato nelle sue funzioni da altre tipi cellulari che nel loro insieme prendono il nome di neuroglia (nevroglia) o semplicemente glia. Il rapporto numerico neuroni-cellule della glia è di circa 1 a 1, essendoci in un encefalo adulto in media 86.1± 8.1 miliardi di neuroni e 84.6 ± 9.8 miliardi di cellule gliali (Azevedo FAC, Carvalho LRB, Grinberg LT, Farfel JM, Ferretti RE, Leite RE, Jacob Filho W, Lent R, Herculano-Houzel SJ. Equal numbers of neuronal and nonneuronal cells make the human brain an isometrically scaled-up primate brain. Comp Neurol. 2009 513(5):532-41, doi: 10.1002/cne.21974).
Il neurone
Ciascun neurone è formato da un corpo cellulare, detto pirenoforo o soma, comprendente nucleo e citoplasma (pericarion) da cui si dipartono uno o più processi citoplasmatici atti alla ricezione di impulsi, i dendriti, ed un solo prolungamento citoplasmatico deputato alla trasmissione di impulsi: l’assone (detto anche neurite). Nel pirenoforo troviamo il nucleo, i diversi organelli citoplasmatici e abbondanti ribosomi associati al reticolo endoplasmatico rugoso a formare aggregati che, al microscopio ottico, sono evidenziabili come granuli di natura basofila, detti complessivamente sostanza tigroide (del Nissl). I dendriti sono sottili e molto ramificati e possono presentare protuberanze dette spine o gemme. Gli assoni sono generalmente più lunghi dei dendriti, originano dal pirenoforo a livello del cono o monticello assonico e si possono ramificare ripetutamente. Ciascuna ramificazione termina con un rigonfiamento a forma di bottone: la terminazione sinaptica o bottone sinaptico. Le terminazioni sinaptiche possono prendere contatto sia con altri neuroni sia con organi effettori. Nel primo caso le terminazioni sinaptiche sono classificate in base alla regione neuronale con cui prendono contatto. Abbiamo così terminazioni sinaptiche assosomatiche, assodendritiche, assospinose e assoassoniche.

Figura N1. Disegno schematico dell’architettura del neurone.

Figura N2. Disegno schematico delle varie modalità di sinapsi tra neuroni
I neuroni, a seconda del numero di dendriti, si possono dividere in:
- neuroni unipolari: sono presenti nella vita fetale. Sono sprovvisti di dendrite e il solo prolungamento, centrale al pirenoforo, funziona da assone;
- neuroni pseudounipolari: sono neuroni con il pirenoforo a forma di goccia, dotati di un solo prolungamento che, successivamente, si divide a T formando, così, un assone e un dendrite. Tipico esempio sono i neuroni dei gangli sensitivi spinali e dei gangli sensitivi dei nervi encefalici;
- neuroni bipolari: il loro pirenoforo ha forma ellittica con due prolungamenti, l’assone e il dendrite, posti ai poli della cellula. Li troviamo nel ganglio spirale (del Corti), nel ganglio vestibolare, nell’epitelio olfattivo e nella retina;
- neuroni multipolari: sono di forma poliedrica proprio perchè dal pirenoforo si dipartono un assone e due o più dendriti. Rappresentano il tipo di neurone più comune presente nel tessuto nervoso.
Le cellule della neuroglia
Le cellule della neuroglia, contrariamente ai neuroni, mantengono generalmente la capacità di proliferare. Esse hanno funzione di supporto e cooperazione nelle funzioni neuronali. Nel SNC abbiamo oligodendrociti, astrociti, microglia, cellule ependimali, nel SNP cellule di Schwann e cellule satelliti.
Oligodendrociti e cellule di Schwann: il processo di mielinizzazione delle fibre
Gli oligodendrociti e le cellule di Schwann si occupano di formare la mielina rispettivamente nel SNC e nel SNP. La mielina è un rivestimento formato dall’arrotolamento della membrana dell’oligodendrocita o della cellula di Schwann attorno ad un tratto di assone. Più tratti successivi del rivestimento fanno sì che l’assone sia ricoperto di mielina per tutta la sua lunghezza. Abbiamo in questo modo diversi tipi di fibre.
- Fibre mieliniche: si possono trovare sia nel SNC che nel SNP. Nel SNC ogni oligodendrocita può avvolgere un tratto di più assoni mentre nel SNP ogni tratto dell’assone è avvolto da una singola cellula di Schwann. Ogni cellula di Schwann riveste un singolo tratto di assone, quindi ogni assone risulta rivestito da più cellule di Schwann una di seguito all’altra: gli spazi tra le diverse cellule di Schwann sono definiti nodi di Ranvier, essi rendono la conduzione dell’impulso di tipo saltatorio. Lo stesso tipo di organizzazione della mielina è presente anche nel SNC (oligodendrociti).
- Fibre amieliniche: in questo tipo di fibre gli assoni non sono avvolti da guaina mielinica, ma più assoni sono sprofondati nel citoplasma di cellule di Schwann. Nell’uomo troviamo questo tipo di fibre soprattutto nel Sistema Nervoso Viscerale (o Autonomo).
- Fibre nude: quando le fibre nervose non sono avvolte da alcun tipo di rivestimento. Le troviamo all’origine dell’assone dal pirenoforo, nel SNC dove sono circondate da astrociti e in terminazioni nervose libere.
Al microscopio ottico le fibre nervose, se non viene effettuata una colorazione elettiva, appaiono poco colorate e con un andamento tipicamente sinuosoidale molto accentuato.
Astrociti
Gli astrociti sono presenti nel SNC dove rappresentano il maggior supporto fisico ai neuroni e, tra le varie funzioni svolte, contribuiscono a determinare la barriera emato-encefalica. Hanno una forma stellata con diversi prolungamenti che terminano con dei pedicelli. Gli astrociti sono divisi in due categorie: gli astrociti fibrosi che si trovano prevalentemente nella sostanza bianca ed hanno pochi e lunghi prolungamenti citoplasmatici e gli astrociti protoplasmatici che si trovano prevalentemente nella sostanza grigia ed hanno corti prolungamenti citoplasmatici ramificati.
Cellule della microglia
Sono cellule di derivazione mesodermica la cui principale funzione è quella fagocitaria, per questo sono interpretate come componente per la protezione immunitaria del SNC.
Cellule ependimali
Le cellule ependimali rivestono i ventricoli cerebrali ed il canale ependimale (ependima tipico) ed i plessi corioidei (ependima atipico).
- L’ependima tipico è un epitelio cilindrico, che riveste le cavità dei ventricoli cerebrali ed il canale centrale del midollo spinale (canale ependimale). A differenza di tutti gli altri epiteli le cellule ependimali non poggiano su di una membrana basale, ma hanno alla base sottili ramificazioni che si intersecano con quelle degli astrociti sottostanti. A livello apicale queste cellule presentano ciglia.
- L’ependima atipico è costituito da cellule dell’ependima strutturalmente modificate, specializzate in attività secernenti e che rivestono i plessi corioidei. Le cellule dell’ependima atipico, a differenza da quelle dell’ependima tipico, poggiano su di una membrana basale e presentano apicalmente numerosi microvilli. Sono coinvolte nella produzione del liquido cerebrospinale (o cefalorachidiano o liquor).
I gangli
Lungo il decorso delle fibre nervose periferiche si formano dei raggruppamenti di neuroni definiti gangli. Essi possono presentare una capsula connettivale.
I gangli possono essere suddivisi in:
- Gangli sensitivi spinali e dei nervi encefalici. I gangli sensitivi spinali hanno una forma ovale, sono relativamente grandi e sono rivestiti da una spessa capsula connettivale. Sono distribuiti ai lati del midollo spinale a livello della radice posteriore del nervo spinale. Al loro interno troviamo neuroni pseudounipolari distribuiti, per lo più, in periferia poichè il centro del ganglio è occupato da un fitto groviglio di fibre nervose che si dipartono dai neuroni pseudounopolari stessi. I corpi cellulari dei neuroni pseudounipolari sono circondati quasi completamente da cellule satelliti che, in connessione con le fibre reticolari provenienti dalla capsula connettivale, provvedendo al sostegno dei neuroni. I gangli sensitivi dei nervi encefalici sono anch’essi costituiti da neuroni pseudounipolari circondati da cellule satelliti.
- Gangli del sistema nervoso viscerale (sia ortosimpatico che parasimpatico): sono generalmente più piccoli dei gangli sensitivi cerebrospinali, sono formati da neuroni multipolari mescolati a fibre in maniera uniforme, in questo modo non si generano zone morfologicamente e topograficamente distinguibili. Proprio perchè multipolari, i corpi cellulari dei neuroni non sono completamente circondati da cellule satelliti che appaiono, perciò, scarse e non facilmente visibili. Quando questi gangli sono formati da pochi neuroni, sono privi di capsula connettivale e si trovano all’interno di altri organi vengono detti “gangli intramurali”.
Il sistema recettoriale
Il nostro organismo presenta sistemi recettoriali che gli permettono di ottenere informazioni relative all’ambiente che lo circonda. Questi sistemi recettoriali possono essere di tipo speciale (come vista, udito, equilibrio, gusto e olfatto) o di tipo generale, che raccolgono informazioni diverse (ad esempio termiche e tattili). I recettori che formano questi sistemi possono essere divisi in esterocettori, propriocettori e enterocettori (o interocettori) a seconda che raccolgano informazioni rispettivamente dall’ambiente esterno (esterocettori), da muscoli, tendini e legamenti (propriocettori) e dai visceri (enterocettori). Un altro sistema, più recente, di classificazione dei recettori si basa sullo stimolo necessario alla loro attivazione (detto stimolo adeguato). Questa classificazione divide i recettori in chemocettori, fotocettori, termocettori e meccanocettori. E’ presente un ulteriore gruppo con caratteristiche peculiari, sia dal punto di vista dello stimolo adeguato che delle modalità di risposta allo stimolo stesso, il gruppo dei recettori per il dolore, definiti nocicettori.
I recettori somatosensitivi comprendono terminazioni nervose libere e terminazioni nervose incapsulate.
- Le terminazioni nervose libere sono formate da sottili fibre che, avendo perduta la guaina mielinica, si disperdono nel tessuto epiteliale o in quello connettivale dei vari organi. Sull’apice hanno espansioni bottoniformi atte a ricevere gli stimoli che possono essere di varia natura.
- Le terminazioni nervose incapsulate sono circondate da tessuto connettivo lamellare e sono di morfologia molto variabile. Le più diffuse sono i Corpuscoli di Pacini, di Meissner o quelle di Golgi-Mazzone. Sono organizzate in modo che, alla terminazione nervosa libera, sia associato un sistema di lamelle connettivali, per lo più concentriche, atte a recepire e amplificarne lo stimolo appropriato.

Figura N3. Telencefalo di maiale. Neuroni piramidali della corteccia telencefalica (o cerebrale). Golgi-Cox 63x

Figura N4. Telencefalo di maiale a più forte ingrandimento. Si notano chiaramente le cellule piramidali e alcune fibre nervose. Golgi-Cox 100x

Figura N5. Tronco encefalico umano. Neuroni multipolari nel midollo allungato. Nel citoplasma dei pirenofori dei neuroni è ben visibile la zona tigroide del Nissle. Nei nuclei, quando il piano di taglio è favorevole e passa esattamente per il centro, si notano chiaramente, con qualunque colorazione, i nucleoli. I nuclei più piccoli e rotondi sono delle cellule della neuroglia. Nissle 200x

Figura N6. Corteccia telencefalica di topo. Neuroni piramidali a forte ingrandimento. Dall’apice di ciascun neurone piramidale si diparte un grosso dendrite (dendrite apicale) tipico di questi neuroni. DAB 100x

Figura N7. Corteccia telencefalica di topo. Micrografia elaborata digitalmente. Neuroni piramidali a forte ingrandimento. La parte centrale del corpo cellulare è colorata in rosso mentre i dendriti, le fibre e le cellule della glia in verde. 200x

Figura N8. Corteccia telencefalica umana. Si possono distinguere le fibre nervose in nero intenso su un fondo color tabacco. Golgi 400x

Figura N9. Corteccia telencefalica umana. Colorati in nero sono ben evidenti neuroni piramidali e fibre nervose. Bielschowsky 200x

Figura N10. Encefalo umano. Sono ben evidenti le fibre nervose. Bielschowsky 200x

Figura N11. Telencefalo umano. Neurone multipolare della corteccia telencefalica. Cajal 200x

Figura N12. Bulbo olfattivo di topo a piccolo ingrandimento. Nissle 40x

Figura N13. Cervelletto di topo. In questa micrografia si apprezza chiaramente la citoarchitettura in tre strati sovrapposti di neuroni della corteccia cerebellare. La sezione spessa circa 10 µm, non è abbastanza spessa per evidenziare l’arborizzazione dendritica delle cellule del Purkinje. DAB 200x

Figura N14. Cervelletto di topo. Micrografia elaborata digitalmente in cui si evidenzia (in rosso) lo strato delle cellule del Purkinje. 200x

Figura N15. Cervelletto umano. Cellule del Purkinje a forte ingrandimento colorate su una sezione di tessuto più spessa della precedente (18 µm). Si noti come, grazie al maggior spessore del preparato, la forte arborizzazione dendritica sia più evidente. Golgi 200x

Figura N16. Cervelletto di topo. Cellule ottenute dopo colorazione e macerazione del tessuto. Il preparato è stato allestito per schiacciamento di una sezione molto spessa (200-300 µm). Visione in toto delle cellule del Purkinje. Golgi-Cox 63x

Figura N17. Cervelletto di topo a più forte ingrandimento. Una cellula del Purkinje è schematizzata in rosa. Golgi-Cox 100x

Figura N18. Cervelletto di topo a più forte ingrandimento. Visione in toto delle cellule del Purkinje. Golgi-Cox 100x

Figura N19. Tronco encefalico di topo. Neuroni multipolari tagliati trasversalmente. La granulazione marrone, che permette di riconoscere questi neuroni, è dovuta ai depositi di melanina intracellulare. Em-Eo 63x

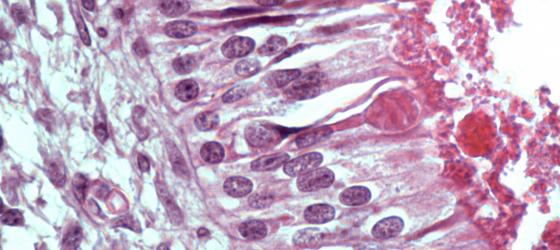
Figura N20A. Mucosa olfattiva di feto umano. A forte ingrandimento è ben visibile un neurone bipolare olfattivo (contornato) che all’apice, tramite un processo dendritico, forma il bulbo olfattivo recettoriale. Alla sua base, invece, origina un assone (non mostrato) che attraverserà la lamina cribrosa dell’etmoide per raggiungere il bulbo olfattivo (telencefalo) all’interno della scatola cranica e concorrendo a formare il I nervo cranico (nervo olfattivo). Em-Eo 630x

Figura N20B. Mucosa olfattiva di feto umano. In questa micrografia si nota una cellula olfattiva (neurone bipolare olfattivo), con all'apice un rigonfiamento chiamato vescicola olfattiva. Em-Eo 630x

Figura N21A. Bulbo oculare di uomo. Si distinguono la retina, l'epitelio pigmentato, la coroide e la sclera. Em-Eo 40x

Figura N21B. Bulbo oculare di uomo. Si distinguono la retina, l'epitelio pigmentato, la coroide e la sclera. Em-Eo 40x

Figura N22. Bulbo oculare umano. Tonaca neurale e coroide. Nella tonaca neurale si distinguono lo strato pigmentato e la retina dove sono visibili i coni e i bastoncelli. Em-Eo 100x

Figura N23. Nervo ottico di topo. Si nota l'andamento ondulato delle fibre che compongono il nervo ottico. HRP DAB 63x

Figura N24A. Midollo spinale di gatto. Sezione trasversale a piccolo ingrandimento. Al centro il canale centrale e la sostanza grigia ricca di neuroni multipolari, in periferia la sostanza bianca con le fibre nervose. Golgi 63x

Figura N24B. Midollo spinale di gatto. Sezione trasversale in cui si apprezzano: al centro il canale ependimale e la sostanza grigia ricca di neuroni multipolari, in periferia la sostanza bianca con le fibre nervose. Golgi 63x

Figura N25. Midollo spinale di gatto. Sezione trasversale in cui al centro si apprezza il canale centrale tappezzato da un epitelio cilindrico semplice ciliato. Si noti la mancanza di membrana basale. Golgi 100x

Figura N26. Midollo spinale di gatto a più forte ingrandimento. Si notano i motoneuroni o cellule radicolari (neuroni multipolari) presenti nelle corna anteriori del midollo spinale. Golgi 200x

Figura N27. Encefalo di topo. Plessi corioidei. DAB 40x

Figura N28. Encefalo di topo. Micrografia elaborata digitalmente. In rosso si evidenziano i plessi corioidei. 40x

Figura N29. Encefalo umano. Plessi corioidei con numerose calcificazioni. Si osservino i numerosi vasi sanguiferi presenti. Em-Eo 63x

Figura N30. Feto umano. Sezione longitudinale in cui si notano la colonna vertebrale, ancora parzialmente ossificata e numerose, sottili fibre nervose, colorate in nero, che si immettono in piccoli gangli sensitivi spinali. Golgi Cox 25x

Figura N31. Ganglio spinale di embrione umano. Ganglio spinale alloggiato nella sua sede naturale. Si notano i neuroni gangliari (pseudounipolari) e il forte ammasso di fibre nervose che fuoriesce dal ganglio stesso a formare la radice posteriore del nervo. Golgi-Cox 63x

Figura N32. Ganglio spinale di embrione umano a più forte ingrandimento. Un grosso fascio di fibre nervose si diparte dal ganglio spostando i neuroni in periferia e si addentra nel midollo spinale. Questa è una delle caratteristiche morfologiche che ci permette di distinguere il ganglio sensitivo spinale da quelli del sistema nervoso autonomo. In questo tipo di gangli, infatti, le cellule gangliari sono raggruppate in isole separate da grossi fasci di fibre o disposte alla periferia del ganglio. Golgi-Cox 100x

Figura N33. Ganglio mesenterico umano. In questo tipo di ganglio le fibre sono meno rappresentate rispetto al ganglio sensitivo spinale e sono distribuite regolarmente in tutto il ganglio, ed i neuroni presentano una distribuzione uniforme. Azan-Mallory 63x

Figura N34. Ganglio mesenterico umano. I gangli del sistema nervoso autonomo presentano una distribuzione delle cellule e delle fibre nervose uniforme. Inoltre i neuroni presenti in questi gangli sono di tipo multipolare e sono circondati in maniera incompleta da cellule satelliti. Azan-Mallory 200x

Figura N35. Ganglio del sistema nervoso autonomo a forte ingrandimento. Si noti la scarsità di cellule satelliti (frecce) intorno ai neuroni multipolari. Em-Eo 200x

Figura N36. Orecchio interno di feto umano. Ganglio cocleare (ganglio spirale del Corti) presente nella coclea. Em-Eo 100x

Figura N37. Ganglio viscerale di coniglio. Mallory mod. 100x

Figura N38. Pancreas di topo. Piccolo ganglio del sistema nervoso autonomo (parasimpatico) incastonato nel tessuto connettivo del pancreas. Em-Eo 100x

Figura N39. Pancreas di topo. Micrografia elaborata digitalmente. Piccolo ganglio (in verde) del sistema nervoso autonomo (parasimpatico) incastonato nel tessuto connettivo del pancreas. 160x

Figura N40. Intestino umano. Microfia elaborata digitalmente. Si noti il plesso mioenterico (frecce). 63x

Figura N41. Intestino umano. Plesso mioenterico a più forte ingrandimento. Em-Eo 100x

Figura N42. Intestino umano. Microfia elaborata digitalmente. Plesso mioenterico a più forte ingrandimento (azzurro chiaro). 100x

Figura N43. Lingua fetale umana. Nervo periferico a piccolo ingrandimento. Con le colorazioni convenzionali il tessuto nervoso risulta sempre poco colorato. In questa micrografia si riconosce un fascio di fibre nervose periferiche con il tipico andamento sinusoidale. Azan-Mallory 100x

Figura N44. Lingua fetale umana. Nervo periferico. Em-Eo 100x

Figura N45. Nervo sciatico di topo, sezione longitudinale. Preparato ottenuto per dissociazione (cioè separazione dagli altri tessuti). Le fibre nervose, generalmente poco colorate, hanno il classico andamento sinusoidale. I nuclei che si vedono sono quelli delle cellule di Schwann. Em-Eo 100x

Figura N46. Nervo umano. Fasci nervosi (funicoli) tagliati trasversalmente e separati da sottile tessuto connettivo, il perinevrio (freccia). Gli spazi vuoti attorno alle cellule sono artefatti della preparazione dovuti alla forte componente lipidica delle guaine mieliniche. Em-Eo 100x

Figura N47. Surrene umano. Piccoli fasci nervosi e singole fibrille nella midollare del surrene, colorati in nero da una colorazione elettiva per le fibre nervose. Bielschowsky 100x

Figura N48. Ganglio spinale di feto umano. Fibre nervose, colorate intensamente in nero, che si dipartono da un ganglio spinale. Golgi 100x

Figura N49A. Terminazioni neuromuscolari di rana. Colorazione elettiva per le terminazioni nervose. Si nota un fascio nervoso che termina con placche aderenti alle fibre muscolari (placche motrici) trasmettendo così l'impulso per la contrazione muscolare. Ruffini 63x

Figura N49B. Terminazioni neuromuscolari di rana. Colorazione elettiva per le terminazioni nervose. Si nota un fascio nervoso che termina con placche aderenti alle fibre muscolari (placche motrici) trasmettendo così l'impulso per la contrazione muscolare. Ruffini 63x

Figura N50A. Terminazioni neuromuscolari di rana a più forte ingrandimento. Si nota chiaramente l'espansione a forma di bottone della terminazione nervosa (placca motrice) sulle fibre muscolati striate. Ruffini 200x

Figura N50B. Terminazioni neuromuscolari di rana a più forte ingrandimento. Si nota chiaramente l'espansione a forma di bottone della terminazione nervosa (placca motrice) sulle fibre muscolati striate. Ruffini 200x

Figura N51. Lingua fetale umana. Fuso neuromuscolare (freccia). Azan-Mallory 200x

Figura N52. Lingua fetale umana. Micrografia elaborata digitalmente. Fuso neuromuscolare. E' evidente il tessuto connettivo (blu). 200x

Figura N53. Lingua fetale umana. Fuso neuromuscolare. Ignesti 300x

Figura N54. Lingua fetale umana. Fuso neuromuscolare sezionato obliquamente. Azan-Mallory 63x

Fiigura N55. Corpuscolo di Pacini. Sezione trasversale. La terminazione nervosa (freccia), posta al centro del corpuscolo percepisce lo stimolo vibratorio la cui frequenza è filtrata dal complesso lamellare che la circonda. Em-Eo 100x

Figura N56. Corpuscolo di Pacini a più forte ingrandimento. Si nota la terminazione nervosa, posta al centro, e l'ampio complesso di lamelle che la circonda. Em-Eo 200x

Figura N57. Cute di balena. Corpuscoli del Pacini organizzati a grappolo e circondati da capillari sanguigni. Nei mammiferi marini i corpuscoli del Pacini non hanno tanto una funzione tattile, quanto il compito di segnalare il cambiamento di pressione. In questo modo l'afflusso di sangue ai vasi aumenta man mano che aumenta la profondità a cui si trova l'animale e quindi la pressione esterna . Ciò contribuisce, in modo determinante, alla regolazione termica corporea. Bielschowsky 100x

Figura N58. Cute di balena. Due corpuscoli del Pacini posti subito al di sotto dell'epidermide. Em-Eo 200x