Tessuto muscolare

Il tessuto muscolare è un tessuto che si è specializzato nel generare movimento mediante la contrazione delle sue cellule. Al variare delle funzioni cui è deputato variano anche la sua morfologia e la sua struttura. Abbiamo così tre tipi di tessuto muscolare:

  • il tessuto muscolare striato scheletrico
  • il tessuto muscolare striato cardiaco
  • il tessuto muscolare liscio


Tessuto muscolare striato scheletrico

Il tessuto muscolare striato scheletrico si forma, durante la vita embrionale, dalla fusione di numerosi mioblasti a formare un miotubo, le cellule cioè formano un sincizio cellulare di forma cilindrica allungata che prende il nome di fibra muscolare. La singola fibra muscolare è caratterizzata da strie trasversali che formano bande caratteristiche, più chiare o più scure, visibili al microscopio ottico. I nuclei sono estremamente allungati e periferici. Ogni fibra muscolare è avvolta da un delicato strato di connettivo reticolare detto endomisio. Le fibre sono organizzate in gruppi a formare fasci avvolti da tessuto connettivo: il perimisio. A loro volta i fasci di fibre muscolari si organizzano a formare i singoli muscoli che sono avvolti da tessuto connettivo detto epimisio. Questa organizzazione permette al muscolo striato di potersi contrarre (accorciandosi) e rilassare (allungandosi) velocemente senza danni. La contrazione di questo tipo di muscolatura è volontaria.

Figura M1. Disegno schematico di una fibra muscolare striata

Figura M1. Disegno schematico di una fibra muscolare striata.


Figura M2. Embrione di topo

Figura M2. Embrione di topo. Lingua. I rabdomioblasti (dal greco rabdo, bastoncino) sono cellule di origine mesenchimale che dopo un processo di fusione e differenziazione danno origine alle fibre muscolari striate. Em-Eo 100x


Figura M3. Embrione di topo

Figura M3. Embrione di topo. Lingua a più forte ingrandimento. Si notino le differenze morfologiche fra i rabdomioblasti, piccole cellule allungate con il citoplasma molto colorato (precursori delle cellule muscolari vere e proprie) e le cellule mesenchimali non ancora differenziate, che sono rotondeggianti e con citoplasma poco colorato. Azan Mallory 200x


Figura M4. Lingua umana

Figura M4. Lingua umana. Fibre muscolari striate. Sezione semifine di tessuto muscolare striato. Questo tessuto è caratterizzato da strie, formate da bande scure (bande A) e bande chiare (bande I), evidenti in sezione longitudinale, dall'organizzazione in fascetti separati da sottili sepimenti connettivali e dai nuclei delle fibremuscolari sottili, allungati e fortemente periferici. Em-Eo 100x


Figura M5. Lingua umana

Figura M5. Lingua umana. Fibre muscolari striate. Si notano le strie trasverse, i nuclei allungati e fortemente periferici e la sottile trama di connettivo reticolare che circonda le singole fibre muscolari (endomisio). Em-Eo 200x


Figura M6. Lingua umana

Figura M6. Lingua umana. Fibre muscolari striate a più forte ingrandimento. Em-Eo 250x


Figura M7. Lingua umana

Figura M7. Lingua umana. Fibre muscolari striate. Immagine elaborata digitalmente in modo da rendere ben evidenti il tessuto connettivo reticolare (in rosa) che circonda i singoli fascietti di fibre muscolari e le strie traverse (in viola). 250x


Figura M8. Lingua umana

Figura M8. Lingua umana. Fibre muscolari striate. Questa colorazione permette una netta differenziazione tra le fibre muscolari (in ocra) ed il tessuto connettivo (in azzurro). Ignesti 100x


Figura M9. Lingua fetale umana

Figura M9. Lingua fetale umana. Fuso neuromuscolare (in blu) immerso in tessuto muscolare striato. Ignesti 250x


Figura M10. Muscolo diaframma umano

Figura M10. Muscolo diaframma umano. Em-Eo 20x


Figura M11. Muscolo striato scheletrico umano

Figura M11. Muscolo striato scheletrico umano. Si notano la disposizione parallela delle fibre muscolari striate e la posizione periferica dei nuclei. Em-Eo 40x


Figura M12. Muscolo striato scheletrico umano a più forte ingrandimento

Figura M12. Muscolo striato scheletrico umano a più forte ingrandimento. Sezione semifine in cui si distinguono: i sottili sepimenti connettivali che circondano le singole fibre muscolari (endomisio), i nuclei fortemente allungati e posizionati perifericamente e le strie trasversali. Em-Eo 200x


Figura M13. Muscolo striato scheletrico umano

Figura M13. Muscolo striato scheletrico umano. Si nota l'organizzazione in fascetti del tessuto muscolare scheletrico. Ematossilina Ferrica 63x


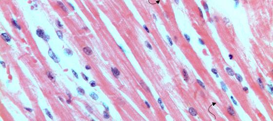
Figura M14. Muscolo striato umano a più forte ingrandimento

Figura M14. Muscolo striato umano a più forte ingrandimento. Colorazione elettiva per i contorni cellulari e le strie trasverse che caratterizzano il muscolo striato. Sono visibili anche alcuni nuclei che appaiono allungati e periferici (frecce). Ematossilina Ferrica 200x


Figura M15. Lingua di coniglio

Figura M15. Lingua di coniglio. Tessuto muscolare striato scheletrico a più forte ingrandimento. Anche con questa colorazione si possono apprezzare, in sezione longitudinale, le bande che caratterizzano le strie del tessuto muscolare scheletrico. Ignesti 200x


 

Tessuto muscolare striato cardiaco

Le cellule che compongono il tessuto muscolare striato cardiaco prendono il nome di miocardiociti, hanno forma cilindrica (spesso biforcata a ipsilon) e dimensioni di 85-100 µm in lunghezza e 15 µm in larghezza. I miocardiociti presentano strie trasversali ben visibili (come nel muscolo striato scheletrico) ed un nucleo centrale ben evidente (come nel tessuto muscolare liscio). Una caratteristica peculiare del tessuto muscolare cardiaco è la presenza di dispositivi specializzati per la giunzione tra cellula e cellula: i dischi intercalari. Nei dischi intercalari sono presenti giunzioni comunicanti (gap junctions) che permettono di accoppiare elettricamente i miocardiociti consentendo loro una contrazione simultanea.

Figura M16. Disegno schematico di un miocardiocita

Figura M16. Disegno schematico di un miocardiocita (cellula muscolare cardiaca).


Figura M117. Tessuto muscolare striato cardiaco umano

Figura M17. Tessuto muscolare striato cardiaco umano. Visione d'insieme. Nonostante il piccolo ingrandimento si notano alcune caratteristiche tipiche di questo tessuto: il miocardiocita presenta un nucleo posto centralmente ed un andamento irregolare. Em-Eo 63x


Figura M18. Tessuto muscolare striato cardiaco umano

Figura M18. Tessuto muscolare striato cardiaco umano a più forte ingrandimento. Si notano chiaramente le fibre muscolari striate con nucleo centrale. I miocardiociti, dopo un breve percorso rettilineo, si biforcano e deviano lateralmente anastomizzandosi con i miocardiociti adiacenti (frecce). Con questa colorazione convenzionale, le strie e i dischi intercalari non sono visibili in maniera chiara. Em-Eo 200x


Figura M19. Tessuto muscolare striato cardiaco umano

Figura M19. Tessuto muscolare striato cardiaco umano. Sezione semifine di muscolo cardiaco in cui sono facilmente distinguibili sia le strie trasversali, che i dischi intercalari, posti come sistema di congiunzione cellula-cellula (frecce). Em-Eo 100x


Figura M20. Tessuto muscolare striato cardiaco umano a forte ingrandimento

Figura M20. Tessuto muscolare striato cardiaco umano a forte ingrandimento in cui appare evidente, al centro dell'immagine, un disco intercalare. Le formazioni rotondeggianti evidenti nel preparato sono eritrociti contenuti nei capillari sanguigni presenti in gran numero nel cuore. Ematossilina ferrica 400x


Figura M21. Tessuto striato cardiaco umano

Figura M21. Tessuto striato cardiaco umano. Le fibre del Purkinje (miocardio specifico), appaiono grandi, globose, con uno o due nuclei e ricche di mitocondri e glicogeno, sono particolarmente evidenti all'interno dell'area tratteggiata. Queste caratteristiche le fanno apparire al microscopio ottico più chiare e più grandi rispetto alle classiche fibre cardiache. Azan-Mallory 63x


 

Tessuto muscolare liscio

Il tessuto muscolare liscio è formato da singole cellule lunghe da 20 µm a 0,5 mm con un nucleo ovale centrale ben evidente. Il muscolo liscio è sotto il controllo del sistema nervoso viscerale (o autonomo) e dell’apparato endocrino. Il tessuto muscolare liscio genera due tipi di contrazione, una “ritmica”, in cui si rilevano impulsi periodici che si diffondono a tutto il tessuto, e una “tonica”, che dà alle pareti viscerali uno stato di contrazione parziale detto “tono muscolare”. Le fibrocellule muscolari liscie, a seconda della loro funzione, assumono una posizione spaziale diversa. Nei vasi hanno un andamento circolare, così da poterne variare il lume in seguito alla contrazione. Nei visceri e nei grossi organi cavi, invece, le fibrocellule muscolari liscie ,assumono, generalmente, un andamento circolare, più interno, e uno, ortogonale rispetto al primo, a disposizione longitudinale, più esterno. Questa organizzazione permette una maggiore tenuta dei visceri e facilita il movimento del contenuto viscerale nel suo percorso, grazie ai movimenti peristaltici della parete. In alcuni organi cavi, come la vescica urinaria e l’utero, le lamine muscolari assumono un andamento meno regolare e formano un fitto intreccio così da avere, oltre alla funzione di supporto e di contrazione tipica di ogni tessuto muscolare, anche il compito di facilitare l’estensione nello spazio e quindi di aumentare la capacità di contenimento dell’organo stesso. Questo tipo di organizzazione del tessuto muscolare è detto “plessiforme”.

Figura M22. Disegno schematico di una cellula muscolare liscia

Figura M22. Disegno schematico di una cellula muscolare liscia.


Figura M23. Tuba uterina umana

Figura M23. Tuba uterina umana. Muscolatura liscia plessiforme della tuba uterina formata da fibrocellule allungate con un nucleo centrale e aggregate senza un’ordine apparente. Em-Eo 63x


Figura M24. Tuba uterina umana a più forte ingrandimento

Figura M24. Tuba uterina umana a più forte ingrandimento. Sono evidenti le le caratteristiche specifiche delle fibrocellule muscolari lisce: sono allungate, con un nucleo ovale centrale ben evidente (sia in sezione trasversale che longitudinale), non sono organizzate in fascetti regolari e mancano di strie trasversali. Em-Eo 100x


Figura M25. Tonaca muscolare di intestino umano

Figura M25. Tonaca muscolare di intestino umano. Fibrocellule muscolari lisce in sezione longitudinale e trasversale. I nuclei appaiono centrali rispetto alla fibrocellula muscolare in entrambi i casi. La disposizione in due strati muscolari uno circolare e l'altro longitudinale è tipica della tonaca muscolare di gran parte degli organi cavi. Em-Eo 100x


Figura M26A. Intestino di topo

Figura M26A. Intestino di topo in sezione trasversale. Si notano chiaramente i due strati di tessuto muscolare, circolare interno e longitudinale esterno, adatti a permettere i movimenti peristaltici tipici dell'intestino. Tricromica di Mallory 100x


Figura M26B. Intestino di topo

Figura M26B. Intestino di topo in sezione trasversale. Si notano chiaramente i due strati di tessuto muscolare, circolare interno e longitudinale esterno, adatti a permettere i movimenti peristaltici tipici dell'intestino. Tricromica di Mallory 100x


Figura M27. Tonaca muscolare di intestino umano

Figura M27. Tonaca muscolare di intestino umano a forte ingrandimento. Fasci longitudinali di muscolatura liscia. Sono evidenti i nuclei in posizione centrale e la totale assenza di strie trasversali. Em-Eo 400x


Figura M28. Tonaca muscolare di intestino umano

Figura M28. Tonaca muscolare di intestino umano. Fasci trasversali di muscolatura liscia. Nelle fibrocellule è ben evidente la posizione centrale del nucleo. Em-Eo 400x


Figura M29. Dotto deferente umano

Figura M29. Dotto deferente umano. Muscolatura liscia. Em-Eo 40x


Figura M30. Dotto deferente umano

Figura M30. Dotto deferente umano. Muscolatura liscia. Sono chiaramente visibili i due diversi orientamenti delle fibrocellule muscolari liscie, circolare e longitudinale. Em-Eo 100x


Figura M31. Dotto deferente umano a più forte ingrandimento

Figura M31. Dotto deferente umano a più forte ingrandimento. Em-Eo 200x

Ultimo aggiornamento