Epiteli semplici

Epitelio pavimentoso semplice

L’epitelio pavimentoso semplice è formato da un singolo strato di cellule più larghe che alte, con un nucleo fortemente appiattito e disposte a formare una sottile pavimentazione. Questo epitelio forma una barriera sottile facilmente penetrabile, con funzioni di filtraggio e di scambio gassoso. Sono esempi di epitelio pavimentoso semplice: l’endotelio (epitelio che forma la tonaca intima dei vasi), il mesotelio (epitelio che forma le sierose: pericardio, pleure e peritoneo), l’epitelio che forma la capsula renale (di Bowman) del corpuscolo renale, l’epitelio che forma la parete degli alveoli polmonari.

Figura E4. Disegno schematico dell’organizzazione dell’epitelio pavimentoso semplice

Figura E4. Disegno schematico dell’organizzazione dell’epitelio pavimentoso semplice


Figura E5. Micrografia di epitelio pavimetoso semplice annotata digitalmente

Figura E5. Micrografia di epitelio pavimetoso semplice annotata digitalmente. Si notano cellule estremamente appiattite, allungate con un nucleo centrale anch’esso appiattito. Il citoplasma più o meno abbondante è chiaramente delineato nel pannello B.


Figura E6. Polmone di coniglio

Figura E6. Polmone di coniglio. Alveoli polmonari tappezzati da epitelio pavimento semplice. Immagine ottenuta dalla giustapposizione di due microfotografie. Em-Eo 63x


Figura E7. Polmone di coniglio

Figura E7. Polmone di coniglio. Alveoli polmonari rivestiti da epitelio pavimentoso semplice. Em-Eo 200x


Figura E8. Rene di coniglio

Figura E8. Rene di coniglio. Sezione trasversale. Nella parte centrale dell'immagine si può osservare l'epitelio pavimentoso semplice che tappezza le pareti del tratto discendente sottile delle anse renali (di Henle). Azan-Mallory 100x


Figura E9. Rene di coniglio

Figura E9. Rene di coniglio. Sezione longitudinale. E' evidente l'epitelio pavimentoso semplice che riveste le pareti del tratto sottile discendente dell'ansa renale (di Henle). Em-Eo 100x


Figura E10. Rene di topo

Figura E10. Rene di topo. Epitelio pavimentoso semplice della capsula renale (di Bowman) nel corpuscolo renale. Em-Eo 100x


Figura E11. Omento di ratto

Figura E11. Omento di ratto. Epitelio pavimento semplice ottenuto per stiramento su tavoletta e colorato con argento nitrato (visione dall’alto). 40X


Figura E12. Orecchio interno di feto umano

Figura E12. Orecchio interno di feto umano. Membrana vestibolare (di Reissner) tappezzata da epitelio pavimento semplice. Em-Eo 40x


Figura E13. Capillari sanguigni umani

Figura E13. Capillari sanguigni umani. Micrografia a forte ingrandimento che mette in evidenza le cellule endoteliali che formano la parete dei capillari. Em-Eo 1000x



Epitelio cubico o isoprismatico semplice

L’epitelio cubico o isoprismatico semplice è formato da uno strato di cellule generalmente tanto alte quanto larghe. Esse presentano un nucleo sempre rotondo e disposto centralmente rispetto alla cellula. In condizioni di attivazione le cellule di questo epitelio possono assumere una forma più allungata ma sono distinguibili dall’epitelio cilindrico semplice perchè presentano sempre un nucleo disposto centralmente. Questo epitelio ha funzione di contenimento: riveste i piccoli dotti escretori delle ghiandole esocrine, alcuni tratti del tubulo renale, i follicoli tiroidei.

Figura E14. Disegno schematico dell’organizzazione dell’epitelio cubico

Figura E14. Disegno schematico dell’organizzazione dell’epitelio cubico (o isoprismatico) semplice


Figura E15. Micrografia di dotti escretori annotata digitalmente

Figura E15. Micrografia di dotti escretori annotata digitalmente. L’epitelio cubico o isoprismatico semplice è messo in evidenza da contorni azzurri. Questo epitelio è facilmente riconoscibile perchè formato da cellule tanto alte quanto larghe e dalla presenza di un nucleo rotondeggiante posto sempre al centro della cellula stessa. L’epitelio cubico semplice si trova tipicamente a rivestire dotti che contengono fluidi. Em-Eo 400x


Figura E16. Testicolo di coniglio

Figura E16. Testicolo di coniglio. Rete testis. I canalicoli sono tappezzati da epitelio cubico (o isoprismatico) semplice. Em-Eo 25x


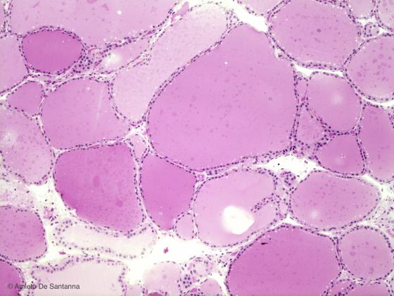
Figura E17A. Tiroide umana

Figura E17A. Tiroide umana. Sono evidenti: i follicoli tiroidei delimitati da epitelio cubico semplice e contenenti la colloide, i vacuoli di riassorbimento e gruppi di cellule parafollicolari. Queste ultime si riconoscono per un'evidente granulazione eosinofila presente nel citoplasma. Em-Eo 40x


Figura E17B. Tiroide umana

Figura E17B. Tiroide umana. Sono evidenti: i follicoli tiroidei delimitati da epitelio cubico semplice e contenenti la colloide, i vacuoli di riassorbimento e gruppi di cellule parafollicolari. Queste ultime si riconoscono per un'evidente granulazione eosinofila presente nel citoplasma. Em-Eo 40x


Figura E18. Ghiandola tiroide umana

Figura E18. Ghiandola tiroide umana. Epitelio cubico o isoprismatico semplice che concorre alla formazione della parete dei follicoli della tiroide. Em-Eo 100x


Figura E19. Ghiandola tiroide umana

Figura E19. Ghiandola tiroide umana. Epitelio cubico semplice a maggiore ingrandimento. Em-Eo 200x


Figura E20. Rene umano

Figura E20. Rene umano. Tubuli renali tappezzati da epitelio cubico o isoprismatico semplice. Em-Eo 100x


Figura E21. Ghiandola parotide umana

Figura E21. Ghiandola parotide umana. Forte ingrandimento di dotto escretore tappezzato da epitelio cubico o isoprismatico semplice. Notare anche i due piccoli vasi sanguigni la cui parete è rivestita internamente da uno strato di cellule fortemente appiattite che formano l'endotelio dei vasi. Em-Eo 400x



Epitelio cilindrico o batiprismatico semplice

L’epitelio cilindrico o batiprismatico semplice è formato da cellule molto più alte che larghe disposte a formare una palizzata e che hanno un nucleo ovale posto nel primo terzo della cellula, nella parte più vicina alla membrana basale. Questo tipo di epitelio è molto diffuso, ha molteplici funzioni e per questo può avere diverse specializzazioni sulla sua superficie. Nel canale intestinale, per esempio, l’epitelio cilindrico semplice riveste la superficie luminale della tonaca mucosa e le cellule che lo compongono presentano sulla faccia apicale numerosi microvilli, cioè espansioni digitiformi della membrana citoplasmatica, atti ad aumentare la superficie di assorbimento e a facilitare gli scambi di sostanze. Nella salpinge l’epitelio cilindrico semplice è ciliato perchè la sua funzione non è più di scambio, ma quella di creare correnti amorfe che favoriscono l’entrata dell’oocita nelle tube e la sua discesa (se fecondato come zigote) verso l’utero e che, nello stesso tempo, ostacolano la risalita degli spermatozooi. L’epitelio cilindrico semplice lo ritroviamo, senza specializzazioni, a rivestire dotti escretori, tratti del tubulo renale.

Figura E22. Disegno schematico dell’organizzazione dell’epitelio cilindrico semplice

Figura E22. Disegno schematico dell’organizzazione dell’epitelio cilindrico (o batiprismatico) semplice.


Figura E23. Micrografia di epitelio cilindrico o batiprismatico annotata digitalmente

Figura E23. Micrografia di epitelio cilindrico o batiprismatico annotata digitalmente. Le cellule che compongono questo epitelio risultano molto più alte che larghe e il loro nucleo, alloggiato nel terzo basale della cellula, risulta allungato. All’apice notiamo i microvilli che sono espansioni digitiformi della membrana cellulare, che hanno lo scopo di aumentarne la superficie di scambio.


Figura E24. Micrografia di epitelio cilindrico ciliato annotata digitalmente

Figura E24. Micrografia di epitelio cilindrico ciliato annotata digitalmente. Possiamo notare un epitelio cilindrico o batiprismatico semplice formato da cellule molto più alte che larghe. Il nucleo delle cellule a riposo solitamente alloggia nel primo terzo (basale) della cellula e tendenzialmente assume una forma più allungata rispetto a quelli dell’epitelio cubico. In questo caso particolare all’apice delle cellule notiamo strutture specializzate dette cilia che permettono con il loro movimento lo spostamento dei fluidi che ricoprono l’epitelio. Le cilia sono ancorate alla cellula mediante una struttura detta blefaroplasto.


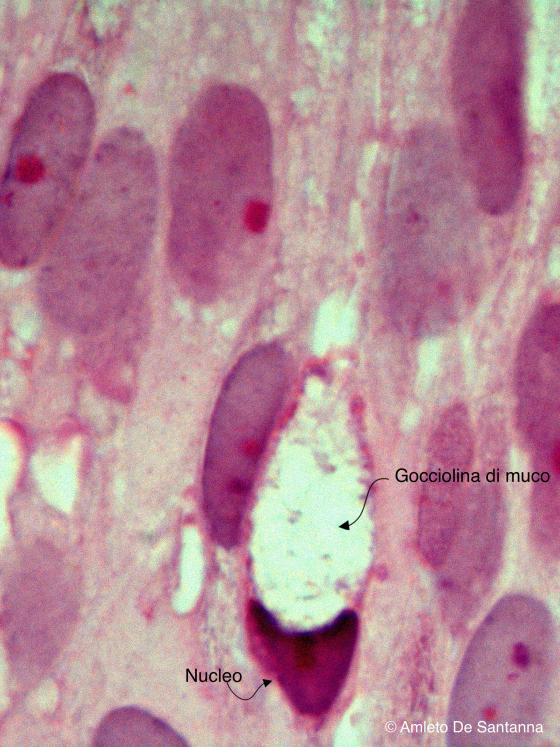
Figura E25. Intestino tenue umano

Figura E25. Intestino tenue umano. Villi intestinali rivestiti da epitelio cilindrico o batiprimatico semplice con microvilli con inframezzate cellule mucipare caliciformi. Notare le profonde lacune in cui sono alloggiate le ghiandole esocrine tubulari semplici (ghiandole intestinali o cripte di Lieberkhun). Em-Eo 40x


Figura E26. Colon umano a forte ingrandimento

Figura E26. Colon umano a forte ingrandimento. Epitelio cilindrico semplice con intercalate cellule mucipare caliciformi. Em-Eo 200x


Figura E27. Colon di ratto

Figura E27. Colon di ratto. Parete intestinale in cui si evidenzia una mucosa sollevata in pliche e tappezzata da un epitelio cilindrico o batiprismatico semplice con inframezzate numerose cellule mucipare caliciformi. Le cellule cilindriche che compongono l’epitelio sono molto alte ed il nucleo, posto alla base della cellula, è molto allungato. Azan-Mallory 100x


Figura E28. Colon di ratto

Figura E28. Colon di ratto. Forte ingrandimento di epitelio cilindrico semplice in cui si notano l'orletto striato, colorato in azzurro e posto all'apice delle cellule cilindriche, e numerose cellule caliciformi mucipare. Inoltre, è ben evidente la membrana basale. Azan-Mallory 400x


Figura E29. Intestino di ratto

Figura E29. Intestino di ratto. Colorazione vitale con inchiostro di china che mette in evidenza l’irrorazione sanguigna della parete intestinale. China 40x.


Figura E30. Intestino di ratto

Figura E30. Intestino di ratto. Forte ingrandimento della parete intestinale colorata con inchiostro di china. China 200x.


Figura E31. Intestino di pesce

Figura E31. Intestino di pesce. Epitelio cilindrico semplice della mucosa intestinale. Nella sottomucosa è presente, in blu intenso, uno spesso strato di connettivo elastico che ha la funzione di prevenire una eventuale perforazione o rottura della parete intestinale. Mallory mod. 100x


Figura E32. Ileo umano

Figura E32. Ileo umano. Sezione trasversale di villi intestinali in cui, oltre all'epitelio cilindrico semplice, si apprezza la specializzazione apicale dell'orletto striato (frecce). Em-Eo 200x


Figura E33. Giunzione gastro-esofagea di coniglio

Figura E33. Giunzione gastro-esofagea di coniglio. Notare il passaggio fra l'epitelio pavimentoso pluristratificato dell'esofago e l'epitelio cilindrico semplice dello stomaco. Tricromica di Mallory 63x


Figura E34. Cistifellea umana

Figura E34. Cistifellea umana. Piccolo ingrandimento in cui si nota un epitelio di rivestimento cilindrico semplice (frecce). Azan-Mallory 40x


Figura E35. Tube uterine umane

Figura E35. Tube uterine umane. Le tube sono tappezzate da epitelio cilindrico semplice ciliato. Em-Eo 40x


Figura E36. Tube uterine umane

Figura E36. Tube uterine umane. Micrografia a più forte ingrandimento in cui si possono distinguere le ciglia vibratili dell'epitelio. Em-Eo 100x


Figura E37. Tube uterine

Figura E37. Tube uterine. Forte ingrandimento in cui si notano le ciglia presenti all'apice dell'epitelio cilindrico semplice. L'ispessimento colorato in rosa intenso alla base delle ciglia è il sistema specifico del loro ancoraggio alla cellula, derivante dall'insieme dei singoli dispositivi detti blefaroplasto o corpuscolo basale. Em-Eo 400x


 

Epitelio pseudostratificato (o pluriseriato)

L’epitelio pseudostratificato (o pluriseriato) è un epitelio in cui tutte le cellule sono in contatto con la membrana basale ma solo alcune raggiungono la superficie. Nei preparati i nuclei risultano su piani differenti, sono sfalsati, mai sovrapposti. Le cellule costituenti questo epitelio hanno forma molto variabile. Esse presentano un rigonfiamento citoplasmatico in cui è alloggiato il nucleo: in alcune cellule questo rigonfiamento si trova verso la base in altre verso l’apice. Questa organizzazione fa sì che, all’osservazione al microscopio ottico, questo epitelio sembri, erroneamente, un epitelio pluristratificato (da qui il nome di epitelio pseudostratificato o pluriseriato).
Sono presenti due tipi di epitelio pseudostratificato: l’epitelio pseudostratificato ciliato e l’epitelio pseudostratificato con stereociglia.
La funzione dell’epitelio pseudostratificato ciliato è quella di purificare l’aria inspirata da pulviscolo e patogeni atmosferici. Le cellule mucipare caliciformi secernono muco (formato da glicoproteine altamente glicosilate e idratate) che ha la funzione di intrappolare le impurità. Il muco viene poi diffuso uniformemente e spostato dalle alte cellule ciliate, come accade per esempio nella trachea dove il muco è spostato dal basso verso l’alto (ascensore muco-ciliare). Questo epitelio si trova nella maggior parte delle vie respiratorie, nella tuba uditiva (di Eustachio), in parte della cavità timpanica e del sacco lacrimale.
L’epitelio pseudostratificato con stereociglia è presente nell’epididimo. Sulla superficie delle cellule che compongono questo epitelio sono presenti dei prolungamenti a ciuffo, le stereociglia, che hanno la funzione di raccogliere e nutrire gli spermatozoi dispersi nel lume dell’epididimo.

Figura E38. Disegno schematico dell’organizzazione dell’epitelio cilindrico pseudostratificato ciliato

Figura E38. Disegno schematico dell’organizzazione dell’epitelio cilindrico pseudostratificato ciliato


Figura E39. Micrografia di epitelio cilindrico pseudostratificato ciliato annotata digitalmente

Figura E39. Micrografia di epitelio cilindrico pseudostratificato ciliato annotata digitalmente. Questo epitelio è formato da cellule allungate che raggiungono il margine libero e da cellule più basse (di rimpiazzo) che non lo raggiungono. Questo fa sì che i nuclei si dispongano su altezze diverse dando l’impressione che si tratti di un epitelio pluristratificato (da qui il termine pseudostratificato). In realtà i nuclei sono disposti solo su serie diverse (da qui il nome di pluriseriato). Le diverse colorazioni dei nuclei indicano i diversi piani di appartenenza della cellula (il blu indica il piano longitudinale più vicino all’osservatore, il verde chiaro quello più distante).


Figura E40. Disegno schematico dell’organizzazione dell’epitelio cilindrico pseudostratificato con sterocilia

Figura E40. Disegno schematico dell’organizzazione dell’epitelio cilindrico pseudostratificato con sterocilia.


Figura E41. Micrografia di epitelio cilindrico pseudostratificato con sterocilia annotata digitalmente

Figura E41. Micrografia di epitelio cilindrico pseudostratificato con sterocilia annotata digitalmente. Questo epitelio riassume le caratteristiche dell’epitelio cilindrico pseudostratifcato ciliato. Avendo però una diversa funzione all’apice presentano stereocilia, formazioni che pur avendo questo nome sono strutturalmente uguali ai microvilli. Queste strutture svolgono due compiti profondamente diversi: da una parte devono essere abbastanza lunghe da accompagnare correnti amorfe che aiutino a raggruppare gli spermatozoi, dall’altra hanno una funzione di scambio con i componenti cellulari presenti nel canale dell’epididimo. Le diverse colorazioni dei nuclei indicano i diversi piani di appartenenza della cellula (il blu indica il piano longitudinale più vicino all’osservatore, il verde chiaro quello più distante).


Figura E42. Trachea umana

Figura E42. Trachea umana. Epitelio respiratorio della trachea formato da epitelio cilindrico pseudostratificato con ciglia vibratili. Azan-Mallory 25x


Figura E43. Trachea di topo

Figura E43. Trachea di topo. Colorazione istochimica di trachea che mette in evidenza in blu i glicosamminoglicani acidi (alcian blu) e in magenta quelli neutri (PAS). Alcian-PAS 25x.


Figura E44. Trachea di topo

Figura E44. Trachea di topo. Colorazione istochimica di trachea che mette in evidenza in blu i glicosamminoglicani acidi (alcian blu) e in magenta quelli neutri (PAS) a maggiore ingrandimento. Alcian-PAS 200x.


Figura E45. Trachea umana

Figura E45. Trachea umana. Epitelio cilindrico pseudostratificato ciliato. Sulla superficie delle cellule si notano le ciglia vibratili che hanno il compito di creare correnti amorfe che permettono lo spostamento del muco sulla superficie epiteliale. Azan-Mallory 100x


Figura E46. Trachea umana

Figura E46. Trachea umana. Epitelio di rivestimento della trachea a più forte ingrandimento. Em-Eo 200x


Figura E47. Cavità nasali di feto umano

Figura E47. Cavità nasali di feto umano. Epitelio cilindrico pseudostratificato ciliato. Em-Eo 100x


Figura E48. Cavità nasali di feto umano

Figura E48. Cavità nasali di feto umano. Epitelio cilindrico pseudostratificato ciliato. Em-Eo 400x


Figura E49. Cavità nasali di feto umano

Figura E49. Cavità nasali di feto umano. Epitelio cilindrico pseudostratificato ciliato a più forte ingrandimento. Si distinguono chiaramente le ciglia ed i corpuscoli basali su cui sono ancorate (blefaroplasti). Em-Eo 1000x


Figura E50. Cavità nasali di feto umano

Figura E50. Cavità nasali di feto umano. Epitelio cilindrico pseudostratificato ciliato a più forte ingrandimento. Si nota una cellula mucipara caliciforme. Em-Eo 1000x


Figura E51. Epididimo di ratto

Figura E51. Epididimo di ratto. Microfotografia a piccolo ingrandimento in cui si notano i coni vascolosi pieni di spermatozoi. Azan-Mallory 25x


Figura E52. Epididimo di topo

Figura E52. Epididimo di topo. Epitelio pseudostratificato con stereociglia dei tubuli dell'epididimo. Si nota (frecce) la membrana basale colorata in nero. Colorazione elettiva per i contorni cellulari. Ematossilina Ferrica 100x


Figura E53. Epididimo di coniglio

Figura E53. Epididimo di coniglio. Epitelio cilindrico pseudostratificato con stereociglia (frecce). Le stereociglia non sono ciglia ma microvilli lunghi e irregolari. Oltre a nutrire gli spermatozoi hanno il compito di raggrupparli e concentrarli. Da qui la loro lunghezza e forma particolare. Azan Mallory 100x


Figura E54. Epididimo di coniglio

Figura E54. Epididimo di coniglio. Epitelio pseudostratificato con stereociglia. A forte ingrandimento si possono apprezzare le stereociglia, lunghi filamenti citoplasmatici che sormontano le cellule pluriseriate, e il sottile strato di cellule appiattite, o al massimo cubiche, poste a ridosso della membrana basale, dette cellule basali. Azan Mallory 200x


Figura E55. Epididimo umano

Figura E55. Epididimo umano. Epitelio pseudostratificato o pluriseriato con stereociglia. Notare la presenza delle cellule basali o di rimpiazzo, appoggiate alla membrana basale, indicate dalle frecce. Em-Eo 200x


Figura E56. Epididimo di coniglio

Figura E56. Epididimo di coniglio. Forte ingrandimento in cui è ben visibile l'epitelio pseudostratificato con stereociglia. La membrana basale è colorata in rosso intenso. Azan-Mallory 250x


Figura E57. Epididimo di topo a forte ingrandimento

Figura E57. Epididimo di topo a forte ingrandimento colorato con una colorazione elettiva che mette in evidenza i contorni cellulari e le stereociglia. Ematossilina ferrica 300x


Figura E58. Testicolo di ratto

Figura E58. Testicolo di ratto. Micrografia a piccolo ingrandimento in cui si notano i tubuli seminfermi contorti del testicolo. Azan-Mallory 25x

Ultimo aggiornamento